Casos reales, resultados reales
Cada caso es un compromiso con la precisión, la estética y la función. Aquí mostramos parte de nuestro trabajo — más de 15.000 casos nos avalan.
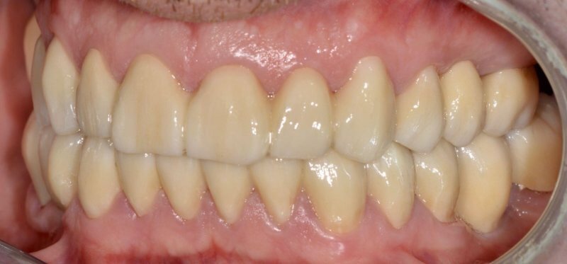
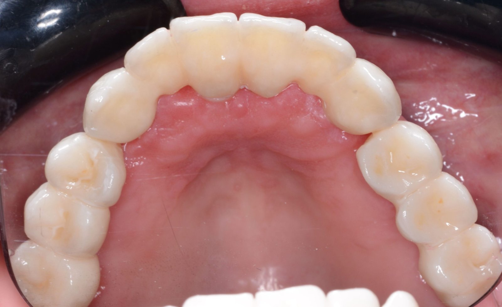
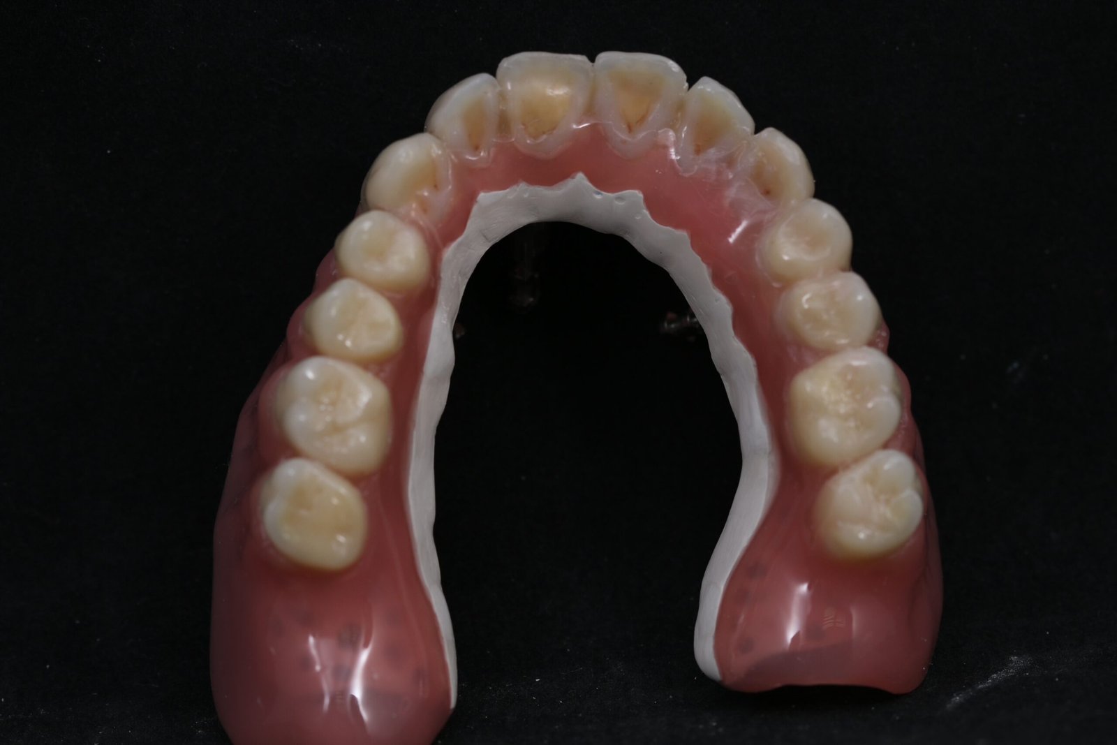
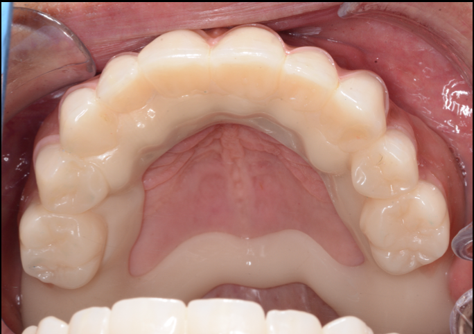
Arcada superior e inferior completa sobre 8 implantes
Estructura fresada en zirconio multicapa. Anatomía oclusal definida con detalle funcional en ambas arcadas.
Maxilar superior
Maxilar inferior
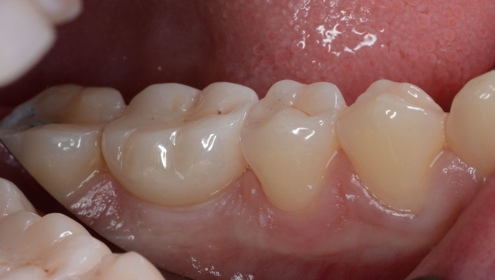
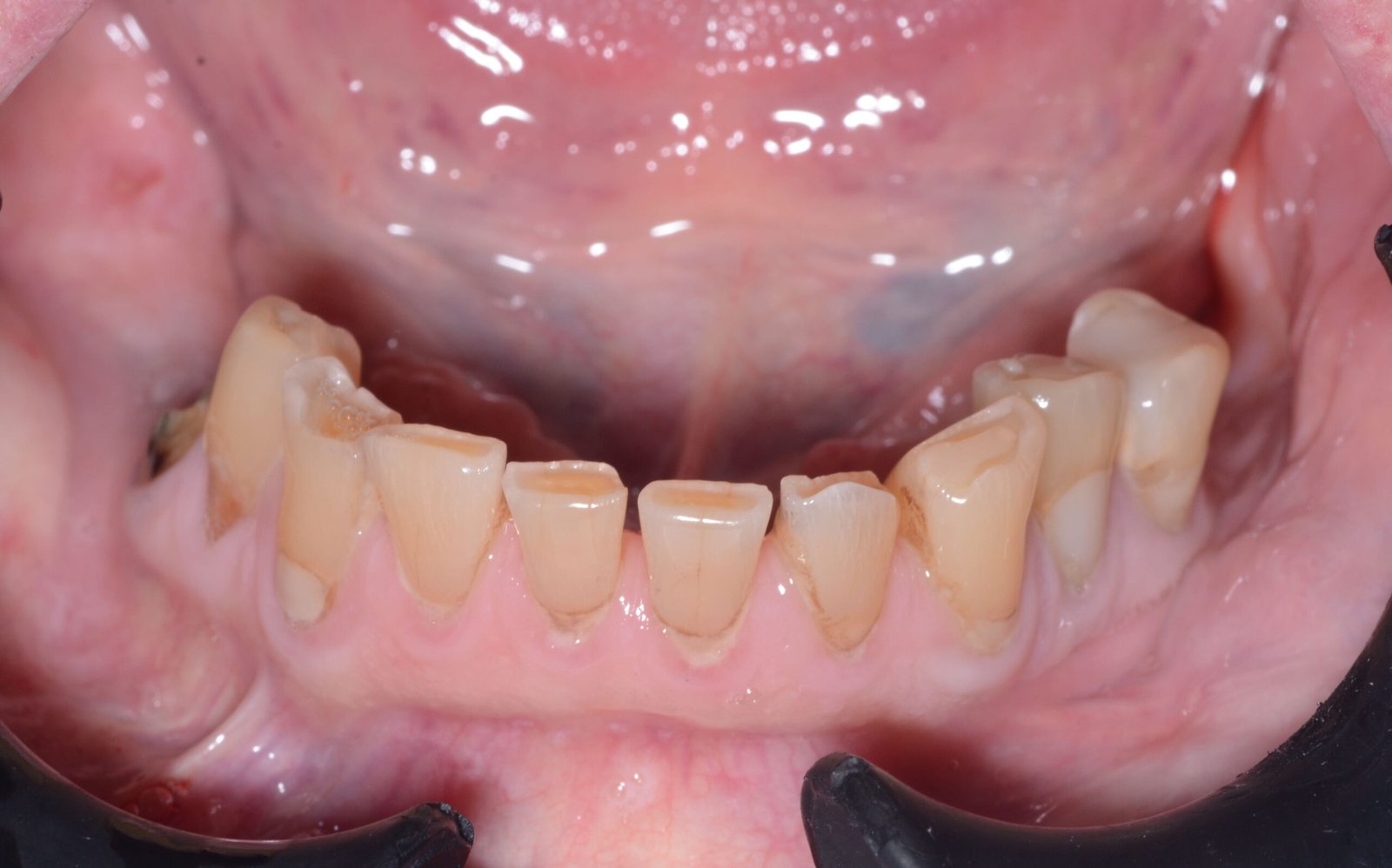
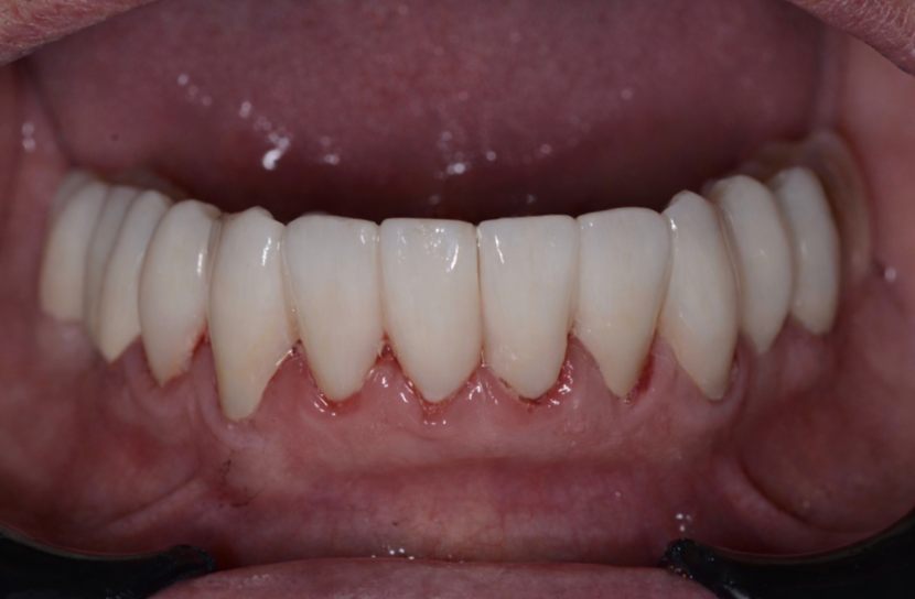
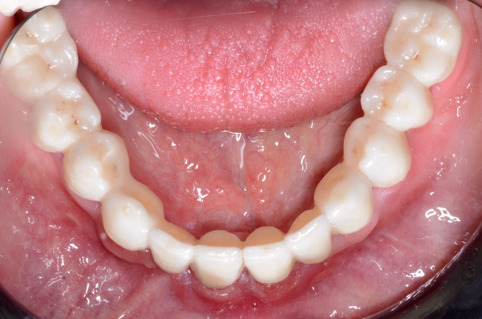
Arcada inferior completa
Coronas y puentes fresados en zirconio. Estética natural e integración con tejidos blandos.
Antes
Después
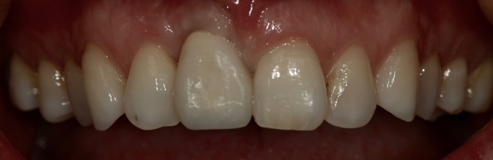
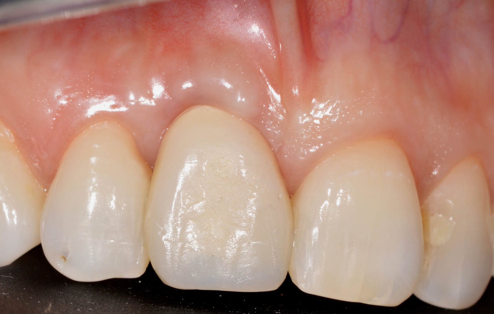
Corona unitaria en zona estética — Pieza 23
Corona sobre implante en zona de máxima exigencia estética. Perfil de emergencia natural y mimetismo cromático con las piezas adyacentes.
Vista lateral
Vista oclusal
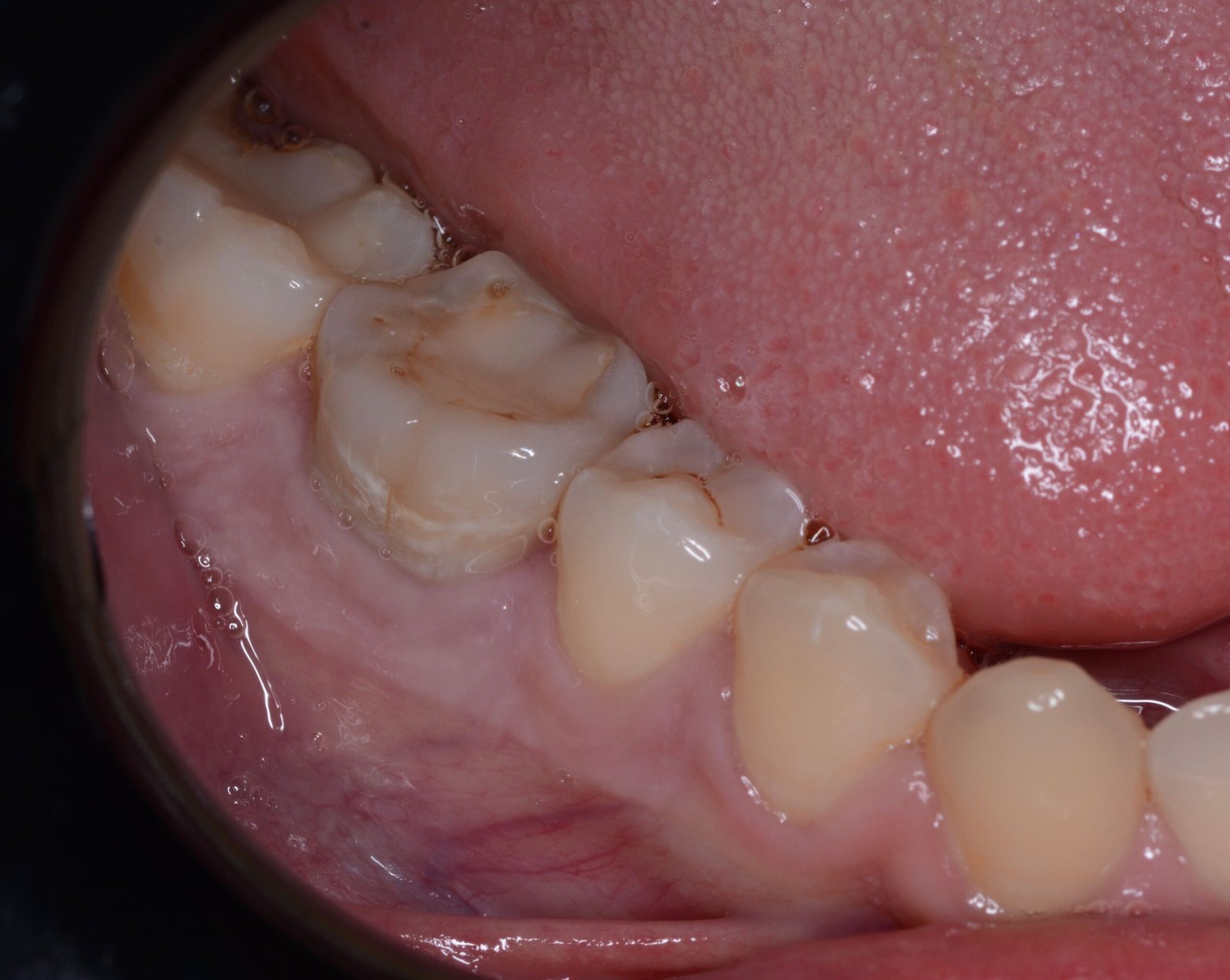
Corona unitaria en sector posterior — Pieza 46
Corona sobre implante perfectamente integrada. Regeneración papilar completa y anatomía oclusal funcional.
Antes
Después
Prótesis telescópica — Zirconio y PEEK
Solución protésica para casos complejos. Estructura primaria en zirconio y superestructura en PEEK para máxima retención y confort.
Cara tisular
Vista oclusal en boca
Corona individual atornillada sobre implante — Pieza 1.1
Corona con aditamento personalizado en PEEK, revestida con Crea.lign. Integración estética excepcional, confirmada tras 12 meses en función.
Revisión a 12 meses
Visión palatina
Visión lateral
Resultado final
Sonrisa
Rehabilitación completa en zirconio — 10 años en boca
Vista lateral tras una década en función. Integración impecable con los tejidos blandos y un aspecto indistinguible de la dentición natural.
Vista lateral
Puente de zirconio en sector estético — Textura y detalle natural
Trabajo sobre modelo con reproducción minuciosa de la textura superficial de los incisivos. Acabado que imita fielmente las características del esmalte natural.
Vista frontal en modelo
Detalle de textura
Vista palatina
Sobredentadura telescópica en PEEK — Maxilar superior sobre 3 implantes
Prótesis removible con estructura en PEEK/BioHPP sobre aditamentos telescópicos personalizados. Máxima retención, confort y estética sobre solo 3 implantes.
Vista lateral
Estructura PEEK
Vista oclusal
Telescópicas en modelo
Detalle palatino
Envíenos su próximo caso
Cuéntenos qué necesita. Le asesoramos sin compromiso y le mostramos cómo podemos ayudarle.