Zirconio. El estándar que no tiene vuelta atrás
Sin metal. Sin línea gingival oscura. Sin chipping cerámico. Biocompatible, translúcido y con resistencia mecánica superior. En BDL trabajamos con los materiales de zirconio de mayor exigencia del mercado.
Por qué el zirconio ha reemplazado al metal-cerámica
Durante décadas, la prótesis fija de metal-cerámica fue el estándar de referencia. El zirconio lo ha desplazado por razones técnicas, biológicas y estéticas que no tienen marcha atrás.
Sin línea oscura gingival
La infraestructura metálica del metal-cerámica con el tiempo genera una sombra oscura en el margen gingival. El zirconio es blanco y translúcido — el margen desaparece con el tejido.
Biocompatibilidad total
El óxido de zirconio es químicamente inerte. No genera respuesta inflamatoria, no hay riesgo de alergia al metal, no interfiere con diagnóstico por imagen.
Sin chipping cerámico
La porcelana sobre metal falla por delaminación. Las restauraciones de zirconio monolítico o recubiertas superficialmente eliminan este riesgo estructuralmente.
Resistencia mecánica superior
El zirconio estabilizado con itrio presenta una resistencia a la flexión que lo hace apto incluso para estructuras de arco completo sobre implantes sometidas a alta carga oclusal.
Superficie no porosa
Una vez sinterizado, el zirconio es completamente liso y no poroso. Mínima acumulación de placa, comportamiento friccional equivalente al esmalte natural.
Longevidad documentada
Más de 25 años de evidencia clínica acumulada. Las tasas de supervivencia a largo plazo del zirconio monolítico superan consistentemente las del metal-cerámica convencional.
Zirconio Prettau y DMAX SMART — dos elecciones con criterio
No todos los zirconios son iguales. La selección del material determina el resultado estético, la resistencia estructural y la idoneidad clínica. En BDL trabajamos con dos referencias de alto rendimiento, cada una con su indicación óptima.
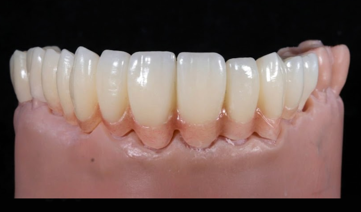
Rehabilitación maxilar superior · 12 coronas de zirconio con aplicación de cerámica rosa · sobre modelo de trabajo
Puente de zirconio sobre implantes · piezas 13–23 · sobre modelo de laboratorio
Prettau®
El material de referencia de Zirkonzahn. Alta translucidez y aspecto perfectamente natural gracias a su microestructura optimizada. No poroso, sin chipping, sin desgaste del antagonista. Indicado para coronas unitarias, puentes amplios y estructuras completas sobre implantes.
Prettau® 3 Dispersive®
Gradiente triple simultáneo de color, translucidez y resistencia a la flexión dentro del mismo bloque. La zona cervical es más resistente y opaca; el borde incisal, más translúcido y estético. Un único material que resuelve toda la boca.
Prettau® 4 Anterior®
Translucidez extrema para el sector anterior. Resistencia de 670 MPa (Universidad de Pennsylvania). Policromático antes del sinterizado: sin las limitaciones estéticas de la vitrocerámica. Alternativa directa al disilicato de litio para casos de alta exigencia estética.
SMART Multilayer
Disco universal blanco de 7 capas con absorción diferencial de tinte. Una inmersión de 15 segundos en el líquido colorante genera el degradado de la escala VITA. 1.100 MPa de resistencia a la flexión — apto para todas las indicaciones, de corona unitaria a rehabilitación completa de mandíbula.
Qué fabricamos en zirconio
Coronas unitarias
Sector anterior y posterior. Monolítico o con recubrimiento selectivo. Ajuste marginal de alta precisión por fresado CAD/CAM.
Puentes plurales
Hasta 14 elementos en estructuras convencionales. Cálculo de conectores según software Zirkonzahn para garantizar la resistencia estructural.
Estructuras sobre implantes
Pilares personalizados, coronas implantosoportadas y superestructuras atornilladas o cementadas. Compatible con todos los sistemas de implantes.
Arcos completos monolíticos
Rehabilitación total de arco en zirconio. Prettau y DMAX SMART permiten estructuras de 12–14 unidades sin comprometer la resistencia mecánica.
Inlays, onlays y carillas
Restauraciones parciales de alta estética. Prettau 4 Anterior como alternativa directa al disilicato de litio con mayor resistencia mecánica.
Rehabilitación con cerámica rosa
Reconstrucción de encía artificial en cerámica sobre estructura de zirconio. Indicada en rehabilitaciones con pérdida de tejido blando o óseo.
Del laboratorio a la boca del paciente
La precisión del fresado CAD/CAM y la selección del material adecuado se traduce en restauraciones que el paciente no distingue de sus dientes naturales — y el clínico tampoco teme colocar.
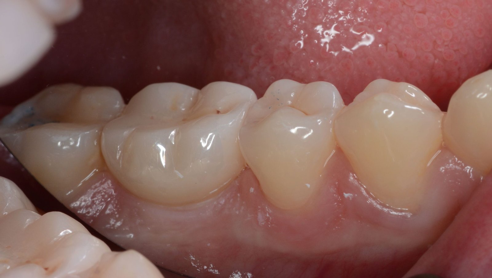
Coronas de zirconio sobre implantes en región 36–37 · Antes y después de la colocación · Fotografía intraoral clínica
Cuéntanos qué necesita el paciente
Sector anterior o posterior, implantosoportado o dentosoportado, alta exigencia estética o máxima resistencia — seleccionamos el zirconio adecuado para cada caso.